Ir para o conteúdo
Home
Clínica Viotto
Dr. Viotto
Instituto Viotto
Soluções
Clinica Geral
Cirurgias Odontologicas
Facetas Dentarias
Lentes de Contato Dental
Ortodontia
Portfólio
Blog
Home
Clínica Viotto
Dr. Viotto
Instituto Viotto
Soluções
Clinica Geral
Cirurgias Odontologicas
Facetas Dentarias
Lentes de Contato Dental
Ortodontia
Portfólio
Blog
Agende sua consulta
Home
Clínica Viotto
Dr. Viotto
Instituto Viotto
Soluções
Clinica Geral
Cirurgias Odontologicas
Facetas Dentarias
Lentes de Contato Dental
Ortodontia
Portfólio
Blog
Home
Clínica Viotto
Dr. Viotto
Instituto Viotto
Soluções
Clinica Geral
Cirurgias Odontologicas
Facetas Dentarias
Lentes de Contato Dental
Ortodontia
Portfólio
Blog
Agende sua consulta
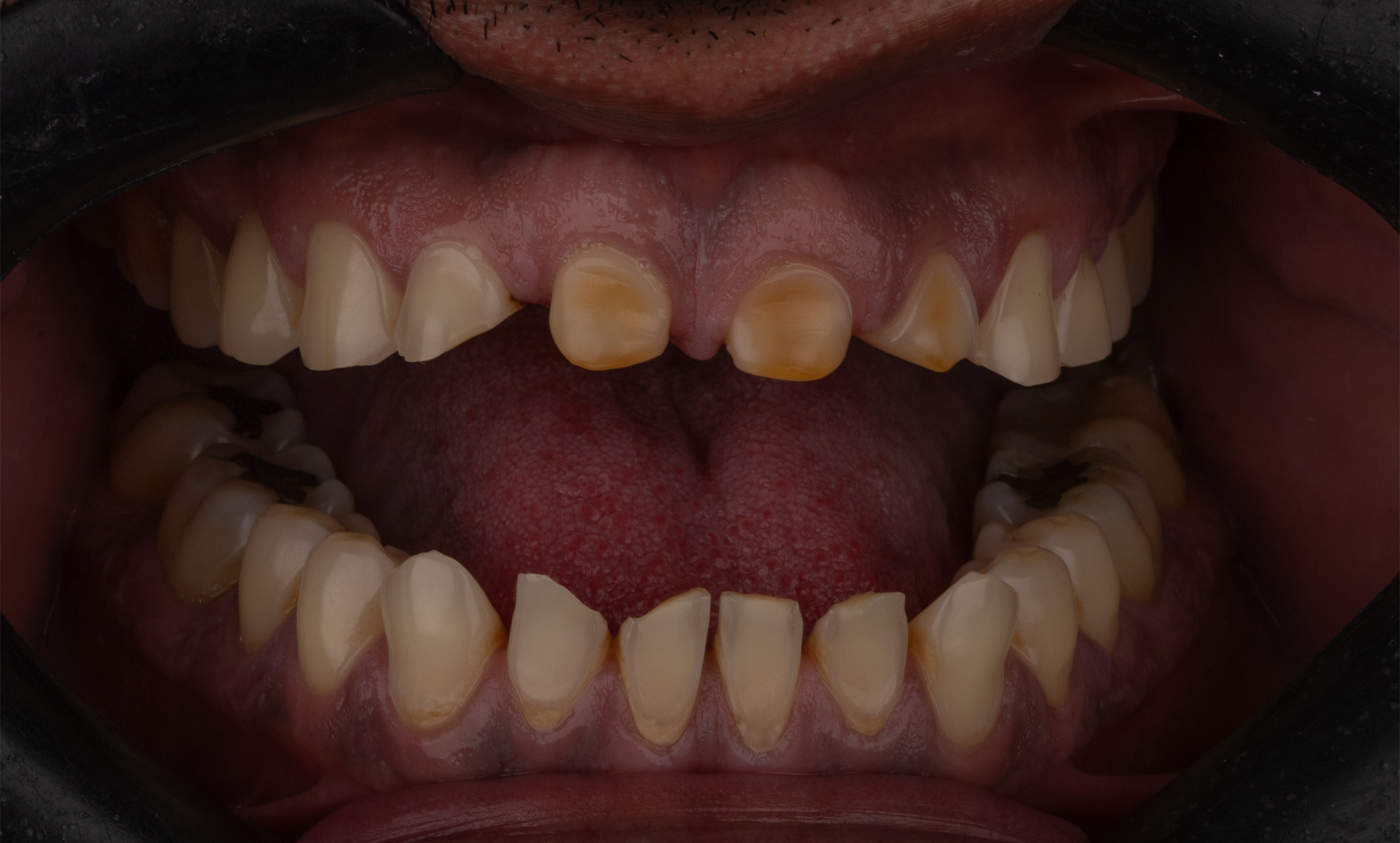
Antes
Depois
Rolar para cima
Preencha e aguarde:
um atendente já vai chamar!
Nome
Telefone
Soluções
Cirurgias Odontológicas
Facetas Dentárias
Lentes de Contato Dental
Ortodonita
Mensagem
Enviar